Cosmetic Dentistry Reviews Tijuana:
Our state-of-the-art technology and specialized techniques place us as the top dental clinic in today’s market. Do not hesitate to visit us
and see this by yourself. At X Dentistry Tijuana, we want to see you smile again!
“It Was Completed the Next Day”

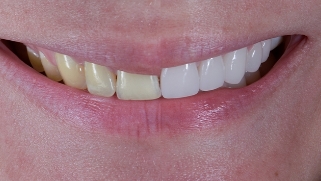
Smile Makeover with Veneers - Shannon Jade Bryant
He got Porcelain Veneers in Tijuana after having braces for 5 Years. He decided to come to XDentistry because it’s close to the border and is rated as a great dental clinic in Mexico. Watch this amazing Cosmetic Dentist in Tijuana Review and Learn Why XDentistry become the best place for him to have his full smile makeover.
Get a Hollywood smile at
X Dentistry!
View Some of Our Recent Patients
experiences at X Dentistry Tijuana.
Do you still have some doubts about the quality and efficiency of our treatment?
View these before and after testimonials!
Smile Makeover
Testimonials
A smile makeover has the objective of improving your
looks aesthetically and recovering your dental
functionality. The specific treatments involved in this option
may be: teeth whitening, veneers, Invisalign Braces and
dental crowns and more.
Take into consideration that every patient presents a
unique profile, and so, the treatments that are fit for your
case will come out with your free assessment. Contact us
today to schedule your appointment!
“I am So Happy, I’m Crying!”

All on 4 Dental Implants - Edward Palma
Meet Edward he is 70 Years old, his teeth where falling off and he doesn’t wanted to smile any more. He Came to Mexico to have his All on 4 Dental Implants, he and her daughter decided to come to XDentistry thanks to the great Dentist in Tijuana Reviews and recommendation of a friend. Learn why he is so Happy with his Results!
Get back your Dental
Functionality for Real!
Watch our patients Before and After Experiences at
X Dentistry Tijuana. In their own Smiles!
Are Tijuana Dentists the best of the best?
Absolutely! Check a few of our patient testimonials.
Mouth reconstruction
in Tijuana
If you are experiencing dental issues or have los teeth, or
have other odontology situations and wish to recover your
structure and functionality, then a mouth reconstruction is
for you! A series of dental treatments will rehabilitate your
capabilities: Dental Implants, Snap-on Dentures,
and all on four are a few.
Your dental health will let us know your specific
requirements for a successful mouth restoration and the
time that this will take. The good news is that you will save
thousands of dollars if you compare it to your local clinic,
up to 70% more affordable!






































